
Aligner Vorher Nachher Bilder
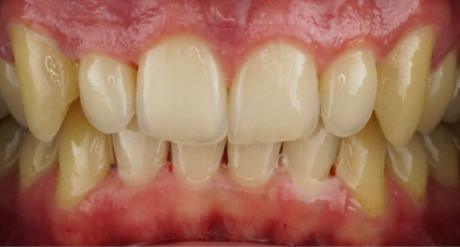
Du möchtest Dich über Aligner informieren und Ergebnisse dieser Behandlung sehen? Hier findest Du Vorher-Nachher-Bilder dieser Behandlung von Zahnärzten aus ganz Deutschland. Es handelt sich um echte Behandlungsergebnisse, die Dir einen realistischen Eindruck vermitteln, welche Erfolge mit einer Aligner-Behandlung erzielt werden können.
Flexible Zahnkorrektur mit unsichtbaren Zahnschienen
Gerade Zähne, aber ohne feste Zahnspange? Das klingt fast schon unrealistisch. Gerade im Erwachsenenalter denken viele Betroffene, dass „der Zug für Sie bereits abgefahren ist“. Schließlich liegt der ideale Behandlungszeitraum in der Jugend. Was viele nicht wissen: Die kieferorthopädische Korrektur von Zahnfehlstellungen mit herausnehmbaren und unsichtbaren Schienen, so genannten Alignern, ist heute in fast jedem Alter möglich. Wenn Sie sich für eine Behandlung mit Alignern interessieren, können Sie hier anhand von Vorher Nachher Bildern Ihren Experten für eine Behandlung finden und sich persönlich beraten lassen.
Kaum sichtbare Schienen für eine schonende Zahnkorrektur
Laut der Gesellschaft für Zahngesundheit, Funktion und Ästhetik können rund 80 Prozent der Jugendlichen und Erwachsenen, die eine Zahnspange benötigen, mit Alignern behandelt werden. Der Vorteil der Aligner-Behandlung: Im Gegensatz zu konventionellen Zahnspangen sind Aligner im Alltag nahezu unsichtbar und deutlich flexibler in der Handhabung. Sie bestehen aus durchsichtigem medizinischem Kunststoff und können vom Patienten selbst herausgenommen werden – beispielsweise während des Essens oder zur Reinigung. Das macht sie vor allem für Berufstätige mit viel Kundenkontakt attraktiv.
Es muss sich was bewegen – Zähne sanft in die gewünschte Position bringen
Kommen Aligner für die Behandlung in Frage, nimmt der Zahnarzt zunächst einen digitalen Abdruck Ihrer Zähne. Dank der 3D-Visualisierung kann der Zahnarzt nicht nur das angestrebte Behandlungsergebnis darstellen, sondern auch den gesamten Ablauf inklusive aller Schienen genau planen. Für ein optimales Ergebnis sollte der Patient die Aligner etwa 22 Stunden am Tag tragen. Nur so können die Zahnfehlstellungen effektiv korrigiert werden. In der Regel sollte man für eine Aligner-Behandlung circa drei bis acht Monate einplanen. Bei geringerer täglicher Tragezeit kann sich die Behandlungsdauer verlängern. Im Rahmen einer etwa vierzehntägigen Verlaufskontrolle passt der Zahnarzt die Schienen erneut an, um eine schrittweise Zahnkorrektur zu erreichen. Mit sogenannten Retainern stabilisiert der Zahnarzt im Anschluss die Zähne, um ein „Zurückwandern“ zu verhindern.
























