
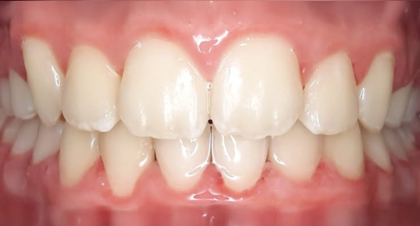
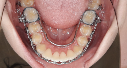
Kieferorthopädie Vorher Nachher Bilder
Du möchtest Dich über Kieferorthopädie informieren und Ergebnisse dieser Behandlung sehen? Hier findest Du Vorher-Nachher-Bilder dieser Behandlung von Zahnärzten aus ganz Deutschland. Es handelt sich um echte Behandlungsergebnisse, die Dir einen realistischen Eindruck vermitteln, welche Erfolge mit einer Kieferorthopädie-Behandlung erzielt werden können.
Die Kunst, Kiefer- und Zahnfehlstellungen zu korrigieren
Schöne, gerade Zähne – das wünschen sich viele Menschen. Tatsächlich besitzen aber nur sehr Wenige von Natur aus optimal angeordnete Zahnreihen. Lediglich bei 5 Prozent sind die Zähne ideal angeordnet. Was die wenigsten wissen: Für eine kieferorthopädische Behandlung ist es nie zu spät! Auch im Erwachsenenalter kann die Kieferorthopädie Zahnfehlstellungen korrigieren. Finden Sie anhand der Vorher Nachher Bilder Ihren Zahnarzt für Ihr schönstes Lächeln mit geraden Zähnen.
Ursachen
Die Ursachen für Zahnfehlstellungen sind oftmals genetisch bedingt. So kann ein zu kleiner Kiefer einen Zahnengstand verursachen, der wiederum zu schief wachsenden Schneidezähnen führen kann. Auch ein kariesbedingter, frühzeitiger Verlust der Milchzähne kann die Stellung der nachwachsenden Zähne beeinflussen. Da die Milchzähne als Platzhalter für die bleibenden Zähne dienen, kann ein übermäßiges Platzangebot das Hineinwandern eines Nachbarzahns in die Lücke begünstigen, sodass der dann durchbrechende Zahn nicht mehr genügend Platz hat. Bei Erwachsenen kann zum Beispiel das Durchbrechen der Weisheitszähne zu einem Zahnengstand führen. Aber auch eine unbehandelte Parodontitis (Zahnfleischentzündung) oder Unfälle können zu schiefen Zähnen führen. Zahnfehlstellungen sind aber nicht nur ein optischer Makel. Sie können sowohl die Kau- und Sprechfunktion einschränken als auch zu Kopfschmerzen und Muskelverspannungen im Kiefer-, Schulter- und Nackenbereich führen.
Behandlungsmöglichkeiten bei Zahnfehlstellungen
Abfinden muss man sich mit diesem Schicksal nicht. Während man bei Jugendlichen die Wachstumsphase zur Korrektur von Kieferfehlstellungen nutzt (in der Regel zwischen dem neunten und zwölften Lebensjahr) können bei Erwachsenen Zahnfehlstellungen jederzeit kieferorthopädisch korrigiert werden. Entweder mit herausnehmbaren (Aligner-Schienen) oder mit festsitzenden Zahnspangen (Brackets und Bögen). Welche Behandlungs-möglichkeit für Sie die Richtige ist, bespricht der Kieferorthopädie gerne mit Ihnen.
























