1131
Ansichten
Du findest das Behandlungsergebnis toll und möchtest Dich in dieser Praxis behandeln oder beraten lassen? Jetzt Kontakt aufnehmen:
Kontakt zur PraxisBefund
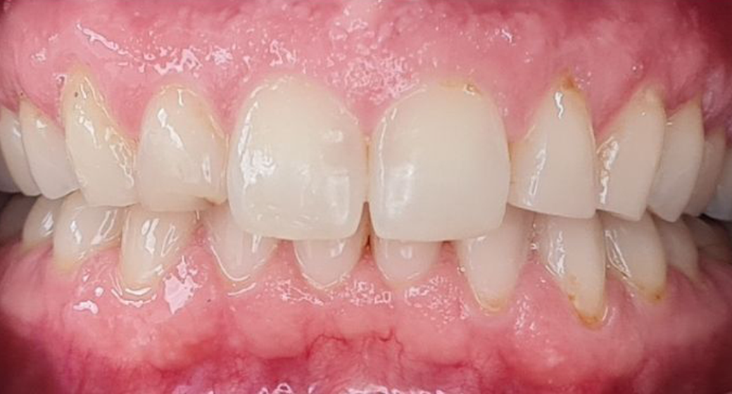
Zahnfehlstellung
Behandlung
Unser Patient hat sich für die Aligner entschieden, um seine Zähne sanft und effektiv zu begradigen. Die fast unsichtbaren Schienen waren die perfekte Lösung für seinen Alltag – komfortabel, herausnehmbar und nahezu unsichtbar! 🌟 Während der gesamten Therapie hat unser Team ihn eng begleitet und regelmäßig überprüft, um sicherzustellen, dass alles nach Plan verläuft. Das Endergebnis? Ein wunderschönes, gerades Lächeln, das das Selbstbewusstsein unseres Patienten enorm gesteigert hat! 🦷❤️ Behandlungsdauer: 13 Monate, Anzahl der Schienen: 28
Patientendaten
Männlich



