139
Ansichten
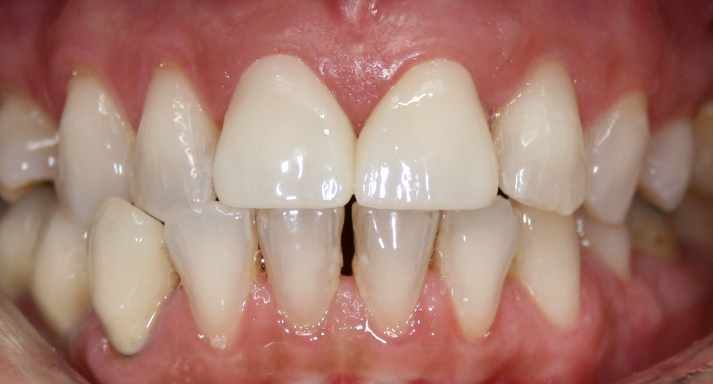
Veneers Vorher Nachher
von Ahmad Saleh

Du findest das Behandlungsergebnis toll und möchtest Dich in dieser Praxis behandeln oder beraten lassen? Jetzt Kontakt aufnehmen:
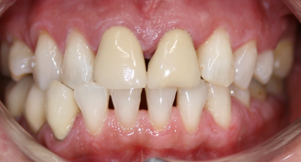
von Ahmad Saleh

Du findest das Behandlungsergebnis toll und möchtest Dich in dieser Praxis behandeln oder beraten lassen? Jetzt Kontakt aufnehmen: