
Zahnarzt Ahmad Saleh
Immermannstraße 15,
40210 Düsseldorf
Du findest das Behandlungsergebnis toll und möchtest Dich in dieser Praxis behandeln oder beraten lassen? Jetzt Kontakt aufnehmen:
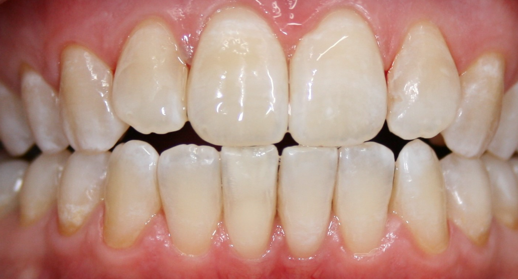
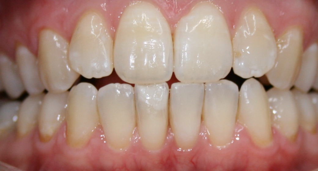
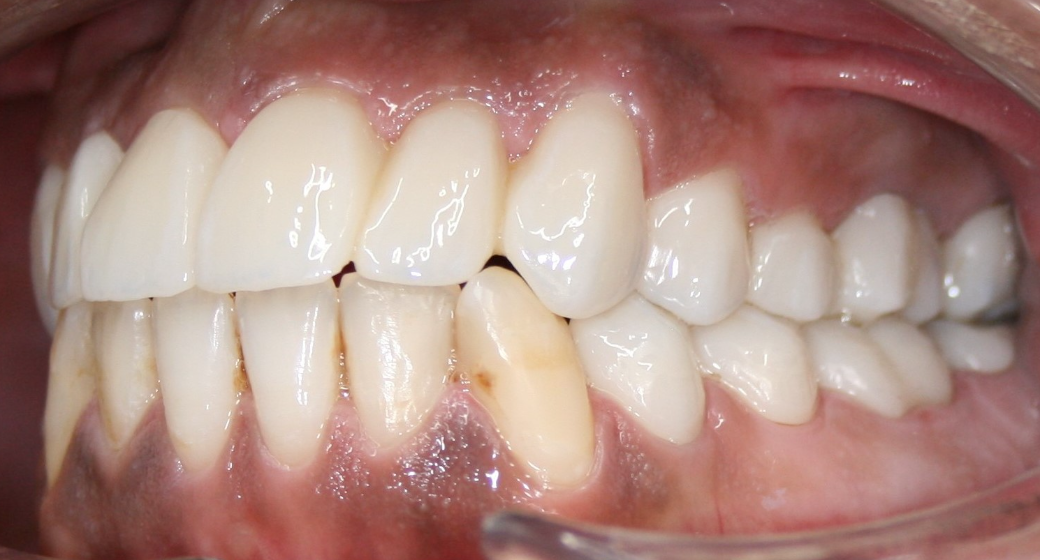
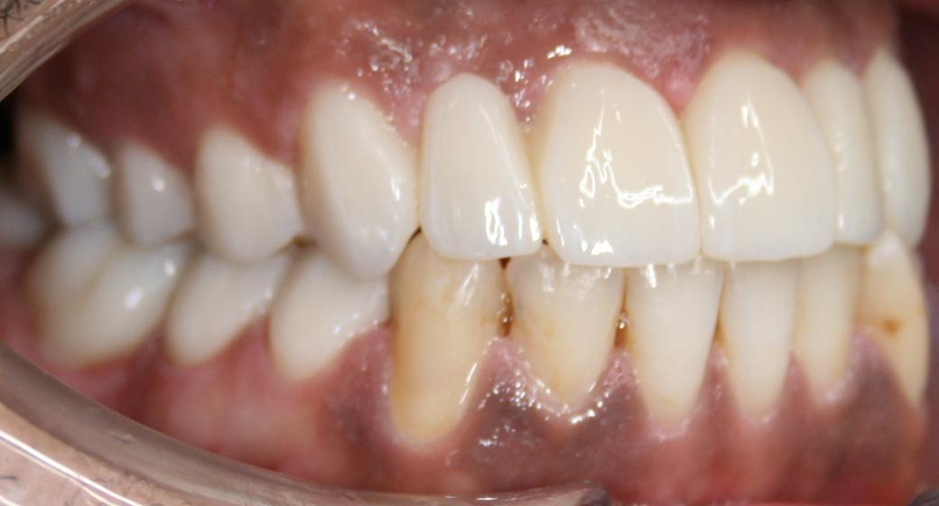
Vorher-Nachher-Bilder von Ahmad Saleh
+ 15 weitere Vorher-Nachher-Bilder
Über Ahmad Saleh
2022 Anstellung im MZV Dr. Zurmühl & Kollegen in der Immermannstrasse 15, 40210 Düsseldorf.
2021 – 2022 Angestellter Zahnarzt Berlin
2020 Angestellter Zahnarzt Düsseldorf
2018 – 2019 Assistenzzeit in Düsseldorf
2018 Deutsche Approbation Bezirksregierung Düsseldorf
2016 – 2018 angestellter Zahnarzt Düsseldorf Oberkassel
2012 – 2013 Zahnarzt in der chirurgischen Clinic for Oral-Maxillofacial Surgery, Damaskus – Syrien
2007 – 2012 Studium der Zahnmedizin an der International University for Science & Technology Daraa – Syria
2007 Allgemeine Hochschulreife










