766
Ansichten
Kieferorthopädie Vorher Nachher
von Till Muffels

Du findest das Behandlungsergebnis toll und möchtest Dich in dieser Praxis behandeln oder beraten lassen? Jetzt Kontakt aufnehmen:
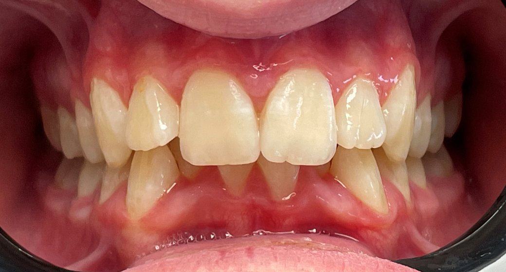
Befund
Zahnfehlstellung
Behandlung
Mit Hilfe eines speziellen Klebers wurden Brackets auf den Zähnen befestigt. Bei Brackets handelt es sich um kleine Halterungen für kieferorthopädische Bogendrähte. Die Brackets verbinden wir über Ligaturen mit dem Bogendraht, der die Zähne bewegen soll. Die fertige Zahnspange übt Druck auf die Zähne aus, sodass sie sich bewegen können.


