1695
Ansichten
Aligner Vorher Nachher
von Dr. med. dent. Nassim Trips

Du findest das Behandlungsergebnis toll und möchtest Dich in dieser Praxis behandeln oder beraten lassen? Jetzt Kontakt aufnehmen:
Kontakt zur PraxisBefund
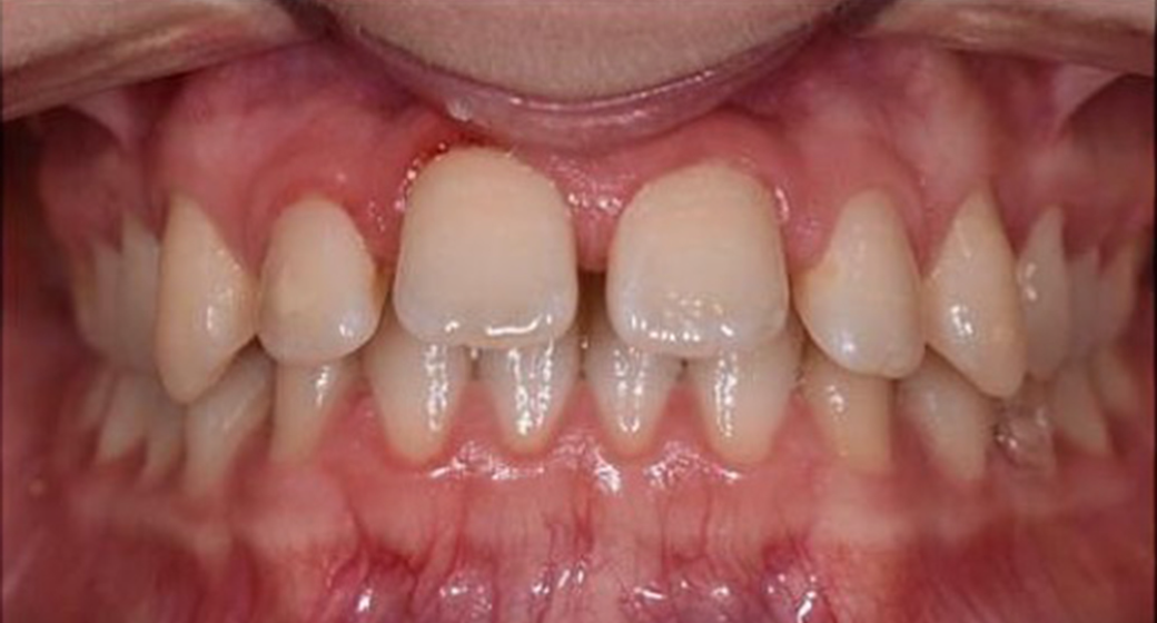
Ungerade Zähne
Behandlung
Invisalign-Behandlung


