
Gummy Smile Vorher Nachher Bilder
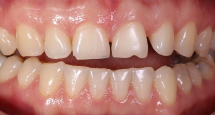
Du möchtest Dich über Gummy Smile informieren und Ergebnisse dieser Behandlung sehen? Hier findest Du Vorher-Nachher-Bilder dieser Behandlung von Zahnärzten aus ganz Deutschland. Es handelt sich um echte Behandlungsergebnisse, die Dir einen realistischen Eindruck vermitteln, welche Erfolge mit einer Gummy Smile-Behandlung erzielt werden können.
Zu viel Zahnfleisch? Wenn man beim Lachen ROT sieht
Ein herzhaftes Lachen kann ansteckend sein. Und: Es wirkt sich positiv auf unseren Körper aus. Glückshormone werden ausgeschüttet, Stress wird abgebaut. Während die einen von Natur aus ein heiteres Gemüt haben, sehen andere beim Lachen rot. Der Grund: Sie schämen sich für ihr Zahnfleischlächeln. Die gute Nachricht: Auch ein Gummy Smile ist behandelbar! Mit verschiedenen Behandlungsmethoden können Zahnärzte wieder ein ausgeglichenes Verhältnis zwischen Zähnen und Zahnfleisch herstellen. Finden Sie anhand der Vorher Nachher Bilder Ihren Experten für die Behandlung Ihres Gummy Smiles.
Stimmige Rot-Weiß-Relation
Bei den meisten Menschen sind beim Lächeln etwa zwei Drittel der Zähne im Oberkiefer sichtbar. Wenn beim Lächeln jedoch mehr Zahnfleisch als Zähne zu sehen sind, spricht man von einem Zahnfleischlächeln. Rund zehn Prozent der Bevölkerung sind schätzungsweise von einem Gummy Smile betroffen – Frauen etwas häufiger als Männer. Um dieses zu verbergen, reduzieren Betroffene ihre Mimik auf ein Minimum. Denn für ein attraktives Lächeln sollten die Frontzähne im Oberkiefer vollständig und wenig bis gar kein Zahnfleisch sichtbar sein. So lautet auch das Ergebnis einer aktuellen Umfrage unter 235 Probanden. Kein Wunder also, dass sich Betroffene eine ausgeglichene Rot-Weiß-Ästhetik wünschen.
Perfekte Rot-Weiß-Ästhetik: Korrekturen für ein optisch ansprechendes Lächeln
Glücklicherweise können Zahnärztinnen und Zahnärzte durch moderne Eingriffe und Methoden ein Zahnfleischlächeln verschwinden lassen. Sei es durch eine Zahnfleischkorrektur, gezielte Botox-Injektionen, den Einsatz von Veneers oder durch eine kieferorthopädische Behandlung mit Zahnschienen oder Zahnspangen. Je nach Ausgangssituation und Schweregrad Ihres Gummy Smiles kann Ihnen der behandelnde Arzt die individuell beste Lösung empfehlen und Ihnen wieder ein selbstbewusstes Lachen ermöglichen.


