696
Ansichten
Veneers Vorher Nachher
von Dr. med. dent. Nikolas Ganß

Du findest das Behandlungsergebnis toll und möchtest Dich in dieser Praxis behandeln oder beraten lassen? Jetzt Kontakt aufnehmen:
Kontakt zur PraxisBefund
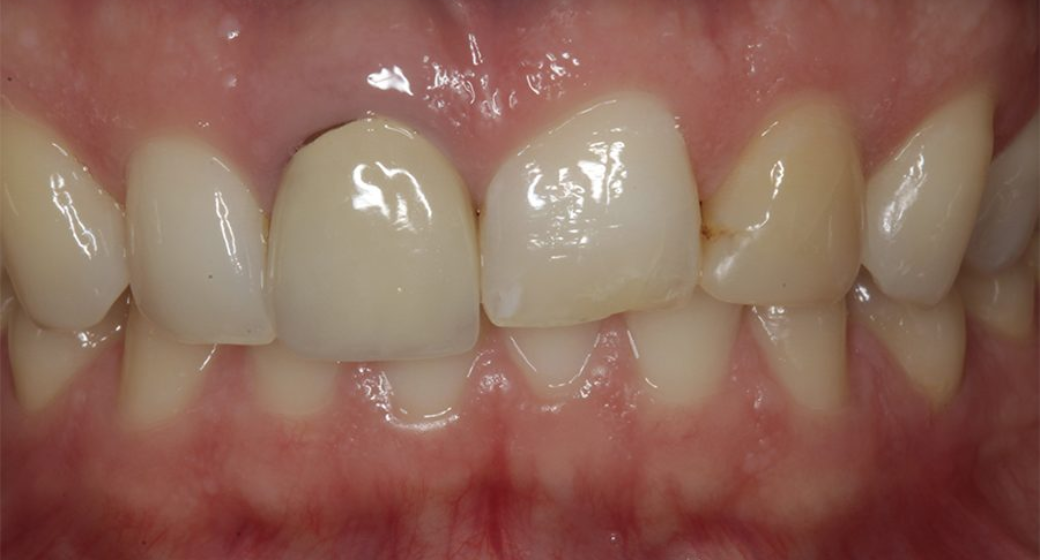
insuffiziente Krone, verfärbter Zahn durch Wurzelkanalbehandlung
Behandlung
Überkronung, Veneers
Patientendaten
männlich, 40


