
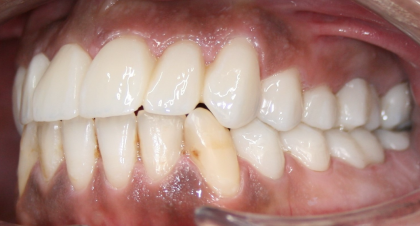
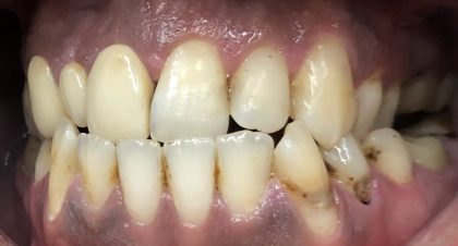
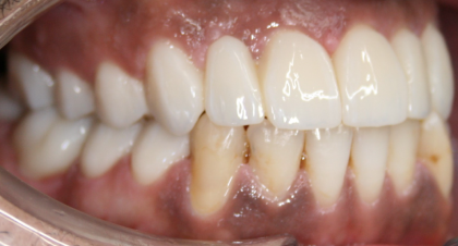
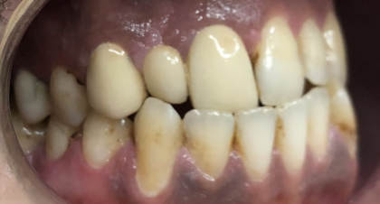
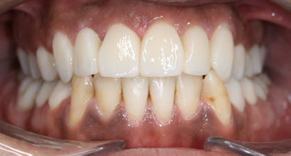
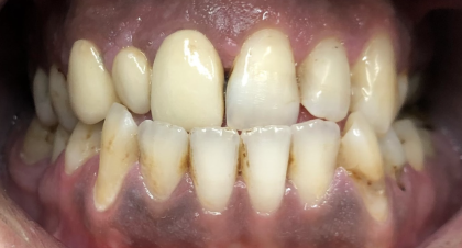
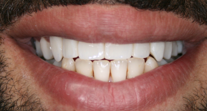
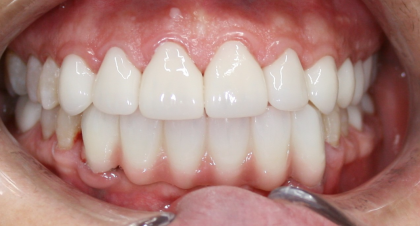
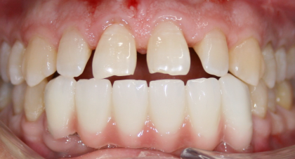
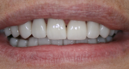
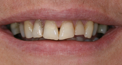
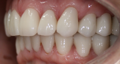
Kronen Vorher Nachher Bilder
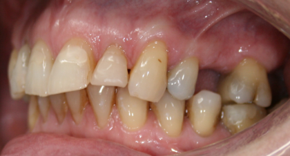
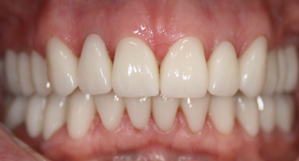
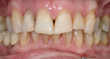
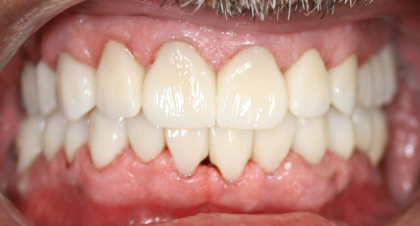
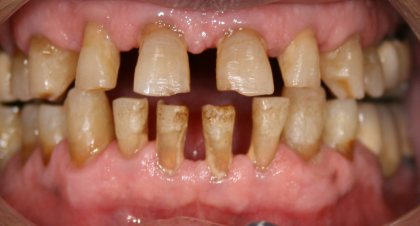
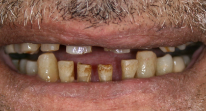
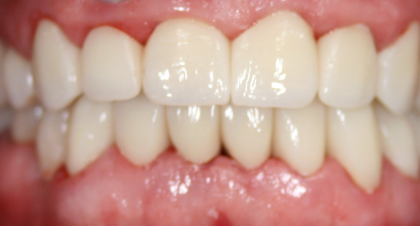
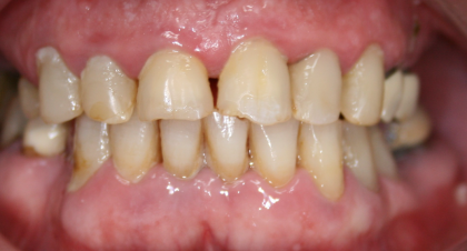
Du möchtest Dich über Kronen informieren und Ergebnisse dieser Behandlung sehen? Hier findest Du Vorher-Nachher-Bilder dieser Behandlung von Zahnärzten aus ganz Deutschland. Es handelt sich um echte Behandlungsergebnisse, die Dir einen realistischen Eindruck vermitteln, welche Erfolge mit einer Kronen-Behandlung erzielt werden können.
Ästhetischer Zahnersatz und Schutz für geschädigte Zähne
Wenn ein Zahn von Karies befallen ist und eine Füllung nicht mehr möglich ist, kommt ein Zahnersatz zum Einsatz – in den meisten Fällen eine Krone. Anhand von Vorher Nachher Bildern finden Sie hier den Experten für Ihren optimalen Zahnersatz mit Kronen.
Voll- oder Teilkronen
Bei Kronen unterscheidet man zwischen Teilkronen, die nur die erkrankte Zahnsubstanz – also meist die beschädigte Kaufläche – ersetzen und Vollkronen, die den gesamten Zahn umhüllen. Welche Variante davon zum Einsatz kommt, entscheidet der zu behandelnde Zahnarzt anhand des individuellen Befundes.
Das Material macht den Unterschied
Das Material wählt der Patient in der Regel selbst aus. Für den sichtbaren Bereich im Mund bieten sich zahnfarbene Kronen an. Hier kann der Patient zwischen Vollkeramikkronen und Verblendkronen wählen. Verblendkronen sind Kronen mit einem Metallkern, der optisch mit Keramik oder Kunststoff verblendet ist. Der Vorteil von Verblendkronen: Sie sind rasch angefertigt und günstiger als Vollkeramikkronen. Der Nachteil liegt hier im legierten Metallgerüst. Kommt es zu einem Zahnfleischrückgang, kann das Metallgerüst zum Vorschein kommen und gerade im Bereich der Frontzähne zu einem unschönen Makel werden. Vollkeramische Kronen haben den Vorteil, dass sie sich optisch perfekt an die natürlichen Zähne anpassen. Zudem sind sie sehr langlebig, haben eine gute Temperaturisolation und sind auch für Allergiker geeignet. Neben diesen Varianten für den Frontzahnbereich gibt es natürlich auch noch die klassischen Kronen aus Gold. Diese werden aber heutzutage fast nur noch im Seitenzahnbereich eingesetzt. Der Grund: Kronen aus Goldlegierungen sind zwar äußerst stabil, allerdings ist Gold temperaturleitfähig, was für viele Patienten sehr unangenehm sein kann. Auch der Kostenfaktor spielt hier für viele Patienten eine Rolle.
Ablauf: Einsetzen einer Krone
Um einen Zahn zu überkronen, muss dieser zunächst präpariert werden. Zuerst entfernt der Zahnarzt gegebenenfalls kariöse Stellen und beschleift den Zahn, damit die Krone später passgenau aufgesetzt werden kann. Im nächsten Schritt wird die Zahnfarbe bestimmt und mehrere Abdrücke genommen, die dem Zahntechniker als Vorlage für die Anfertigung dienen. Bis der Zahnersatz fertig ist, erhält der Patient ein Provisorium aus Kunststoff, um den beschliffenen Zahn zu schützen. Nach Fertigstellung wird die Krone beim Patienten eingesetzt. Dabei prüft der Zahnarzt nochmals die Passgenauigkeit und kann – wenn nötig – noch kleine Unebenheiten abschleifen.
























